
Oral Pathology
Several factors-including scalpel biopsy-are used when making a definitive diagnosis on conditions caused by tobacco use.
Diagnosing oral pathologic conditions, in some cases, are based on clinical, radiographic, historical, or therapeutic features alone. However, there are numerous lesions or conditions where multiple diagnostic features are used to arrive at a definitive or final diagnosis. Some of these are related to smoking.

Nicotine Stomatitis
Nicotine stomatitis-often referred to as “pipe smoker’s palate” or “smoker’s palate”-is a benign condition of the hard palate (Figure 1). Mainly caused by heavy pipe or cigar smoking, the heat generated from the smoke causes the hyperkeratotic response. The initial response of the palatal tissues is an erythematous reaction followed by hyperkeratosis. The hard palate then exhibits an overall gray-white appearance with raised gray-white nodules surrounding the red, inflamed orifice openings of the minor salivary ducts. The diagnosis of this condition is based on the unique clinical appearance and the patient’s history of smoking. Once the smoking habit is stopped, the condition is usually totally reversible. If after a few weeks the palatal tissues do not return to normal, the area should be treated as a clinical leukoplakia and handled accordingly. Scalpel biopsy is then necessary.
Smoker’s Melanosis
Smoker’s melanosis is also diagnosed from clinical features and is related to cigarette smoking. Occurring more often in women than men, research indicates there is some correlation to female hormones when combined with smoking that causes this pigmented condition. Clinically, there is a gray to brown pigmentation found on the anterior labial gingiva. The intensity of the melanin pigmentation is associated with the amount and duration of the smoking habit. Once the smoking is stopped, it may take several months or years for the condition to completely resolve.
Tobacco pouch keratosis
Tobacco pouch keratosis, also referred to as “spit tobacco keratosis” and formerly referred to as “tobacco chewers white lesion,” is a condition that results from spit tobacco being habitually placed in the mucobuccal fold in the mandibular anterior or buccal regions (Figure 2). Clinically, there is a white corrugated or wrinkled area where the tobacco has been placed. Histologically, there is hyperkeratosis and epithelial hyperplasia. The long-term use of spit tobacco can cause an increased risk of squamous cell carcinoma since the chemical toxins in the tobacco are in direct contact with the tissues. In nicotine stomatitis, the heat from the pipe, cigar, or cigarettes causes the hyperkeratotic reaction, not the chemicals. Once the patient stops the habit of spit tobacco, the tissues should return to normal. If this does not occur, a biopsy is necessary in the area that does not resolve to determine a definitive or final diagnosis.
Leukoplakia
Leukoplakia (“white patch”) is a clinical term used to identify a white lesion for which the cause is not known. There is no histologic description for clinical leukoplakia but there are several diagnoses that can be made from biopsy and microscopic examination of white lesions in question. Carcinoma in situ (in its original place of origin) is one that can only be diagnosed through biopsy and microscopic examination (Figure 3). Clinically, this white lesion was referred to as leukoplakia until the microscopic examination revealed severe epithelial dysplasia (a disorganized growth that is considered premalignant) throughout the epithelium with no invasion of abnormal cells past the basement membrane. Treatment requires surgical excision with long-term follow-up since dysplastic lesions have the potential to recur.
Squamous cell carcinoma
Squamous cell carcinoma is a malignant tumor of squamous epithelium (Figures 4-7). Figures 4 and 5 demonstrate lesions of early squamous cell carcinoma on the ventral surface of the tongue. They are both rather subtle white lesions for which a cause cannot be determined. A definitive or final diagnosis cannot be made based on clinical features alone. Additionally, history of the lesion may not be helpful since both of these patients were unaware that the lesion was present. These lesions were both totally asymptomatic. The dentist must consider the location when determining clinical leukoplakia and pose questions concerning the lesion observed. What could have caused the white lesion on the ventral surface of the tongue, which is a rather protected area? Immediate suspicion should be noted. It is not an area to watch until the next recare appointment!
What could have caused the white lesion on the ventral surface of the tongue, which is a rather protected area?
![]() |
![]() |
| Figure 1. Nicotine stomatitis on the hard palate. | Figure 2. Tobacco pouch keratosis seen on
the anterior muccobuccal fold. |
![]() |
![]() |
| Figure 3. Carcinoma in situ on the labial
mucosa. |
Figure 4. Early squamous cell carcinoma on the
ventral surface of the tongue. |
![]() |
![]() |
| Figure 5. Early squamous cell carcinoma on the
lateral-ventral surface of the tongue. |
Figure 6. Squamous cell carcinoma on the lateral
border of the tongue. |
![]() |
![]() |
| Figure 7. Squamous cell carcinoma on the lateral
border of the tongue. |
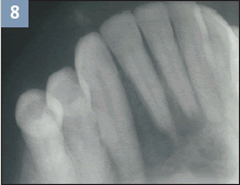
Figure 8. Radiograph showing metastatic squamous
cell carcinoma to the anterior mandible. |
![]() |
|
| Figure 9. Verrucous carcinoma of the anterior
mandible. |
During the soft tissue examination, the dental hygienist can describe and measure the lesion, identify the exact location, and review the patient’s dental history to determine if any previous notations were made. In Figures 6 and 7, an exophytic mass (showing growth from the surface) is shown that is ulcerated with indurated borders (hardness due to the growth of epithelial cells resulting from inflammation). After biopsy and microscopic examination, a diagnosis is made of these more advanced lesions of squamous cell carcinoma. Squamous cell carcinoma can metastasize to the lymph nodes, lungs, liver, or bone. In the jaws, the mandible (Figure 8) is most likely the site of metastasis. A radiograph alone cannot determine a diagnosis for squamous cell carcinoma.
Verrucous carcinoma
Verrucous carcinoma (snuff dippers’ cancer) is considered a low grade form of squamous cell carcinoma (Figure 9). It is listed separately from other squamous cell carcinomas because the tumor cells do not penetrate the basement membrane, it does not usually metastasize, and therefore has a better prognosis. Clinically, verrucous carcinoma appears as a slow growing tumor with a white and red pebbly surface. Scalpel biopsy is essential for a definitive diagnosis and it is treated with surgical excision and close follow-up. Remember that leukoplakia, carcinoma in situ, squamous cell carcinoma, and even some cases of verrucous carcinoma can be seen in patients who do not use tobacco. While some conditions are easily diagnosed through clinical, historical or radiographic diagnosis, when it comes to neoplasms (tumors) scalpel biopsy is the essential component to establish a definitive diagnosis.
References
- Ibsen OAC, Phelan JA. Oral Pathology for the Dental Hygienist. 4th ed. Philadelphia: WB Saunders; 2004.
- Neville BW, Damm DD, Allen CM, Bouquot JE. Oral and Maxillofacial Pathology. 2nd ed. Philadelphia: W.B. Saunders; 2002.








