A New Option for Local Delivery
Antimicrobials, such as minocycline microspheres, can enhance the effectiveness of mechanical therapy in treating chronic periodontitis.
Are you ever confused with the vast array of products available to treat periodontal disease? With the recent introduction of “easy to use” local delivery antimicrobials, the dental hygienist has more choices than ever in treating chronic periodontitis patients. For many periodontal patients, traditional therapies such as toothbrushing, flossing, supragingival irrigation, and professional mechanical treatment will provide successful disease maintenance. However, as periodontal pockets deepen, the ability of the patient to maintain the disease in a healthy state becomes increasingly difficult. In addition, professional mechanical therapy may also lose effectiveness.1,2 Even though scaling and root planning are still considered the “gold standards” for the treatment of chronic periodontitis, therapies such as local antimicrobial delivery systems are now available to enhance the effectiveness of mechanical therapy. Currently, three locally delivered antimicrobials are available in the United States. They are PerioChip® Dexcel Pharma Inc, Edison, NJ; Atridox™ CollaGenex Pharmaceuticals Inc, Newtown, Pa; and Arestin™ OraPharma Inc, Warminster, Pa.
| Figure 1. Minocycline Microspheres | ||
|
|
|
|
|
Baseline |
2 Days |
10 Days |
Evidence Base for Local Delivery
The evidence base for treating chronic periodontitis includes four scientific findings. First, periodontitis is caused by bacteria. Although the oral cavity contains hundreds of bacteria, only a few are pathogenic for chronic periodontitis.3
Most oral health care professionals still rely on mechanical methods of treating chronic periodontitis and do not target the primary etiology—the bacteria. Mechanical therapy provides a smooth and clean root surface allowing for supporting soft tissues to reattach. However, mechanical therapy removes some of the bacteria but not all.4,5 Providing antimicrobial therapy through local delivery will directly kill or inhibit the bacteria6 and allow for further reduction in pocket depth. This combined approach to therapy may increase treatment effectiveness for patients with chronic periodontitis.
Second, chronic periodontitis cannot be cured but it can be controlled. Local delivery systems allow the hygienist to treat and retreat the patient more effectively and efficiently. Local delivery focuses on the bacterial component and provides an extra boost to the infection site. Because the drug maintains a sustained level of the drug in the pocket for an extended period of time, the patient has an enhanced pharmacokinetic response to the bacterial challenge for several days or weeks.7-9 In addition, the locally delivered product treats the site of infection as opposed to systemic antibiotics that affect the entire system.
Third, all plaque and calculus cannot be removed mechanically. Several investigators have verified that even superior clinicians will not remove all deposits from the tooth and root surface.5 Scaling and root planing procedures are very demanding and time consuming. Although the clinical response to mechanical therapy is generally positive, some sites will not respond to therapy.10-11 Other factors like root anatomy, furcations, and deep probing depths, may limit the effectiveness of mechanical therapy. However, the fact that mechanical therapy disrupts biofilms is very important. Biofilms are defined as “matrix-enclosed bacterial populations adherent to each other and/or surfaces or interfaces.”12 These subgingival plaques are extraordinarily persistent, difficult to eliminate, and thought to play a vital role in the relationship of periodontal disease to systemic illness.13 The bacteria in biofilm communicate with each other by sending out chemical signals that trigger bacteria to produce potentially harmful proteins and enzymes.12 Current theory is that microorganisms in biofilms are resistant to antibiotics, antimicrobials, and host response12 making thorough scaling and root planing/debridement essential.
Last, periodontal pockets and sulci will re-infect in as little as a few days to a few weeks after mechanical treatment.14 The addition of a locally delivered antimicrobial will extend the effects of therapy.7-9
Local delivery systems must deliver the drug to the base of the pocket at microbiologically efficacious concentrations.15 The concentration of the drug must remain in the pocket for a sufficient length of time and at sufficient levels to be clinically effective. In addition, local delivery systems should be biodegradable, thus eliminating a second patient appointment; bioadhesive; and cost-effective. Minocycline microspheres possess these characteristics.
Characteristics, Pharmacokinetics, and Safety
In 2001, the Food and Drug Administration approved minocycline pheres as an adjunct to scaling and root planing procedures for reduction of pocket depth in patients with chronic periodontitis. It is a subgingival sustained release product containing the antibiotic, minocycline hydrocholoride, which incorporates into a bioresorbable polymer for professional subgingival administration into periodontal pockets. The system delivers minocycline in a powdered microsphere delivery system. The minocycline microspheres are a bioadhesive, bioresorbable polymer in powder form produced by a microencapsulation process. Once the product is administered, it immediately adheres to the periodontal pocket. Crevicular fluid hydrolyzes the polymer causing water-filled channels to form inside the microspheres. These holes provide “escape routes” for the encapsulated antibiotic for sustained release. The active drug dissolves and diffuses out of the microsmicrospheres through the channels into the surrounding tissues. Eventually, the microspheres themselves are fragmented through polymer hydrolysis and are completely bioresorbed (Figure 1).
Minocycline is a member of the tetracycline of antibiotics and has a broad spectrum of activity.16 Minocycline inhibits protein synthesis in the bacterial cell wall that causes leakage and destroys the cell. At higher concentrations, minocycline is bacteriocidal, killing the bacteria. Laboratory testing has shown minocycline to be very effective in eradicating the organisms that are associated with chronic periodontitis.17 Porphyromonas gingivalis, Prevotella intermedia, Fusobacteriom Nucleatum, Eikenella corrodens, and Actinobacillus actinomycetemcomitans are susceptible to minocycline at concentrations of < 2 µg/mL. Table 1 lists the minimal inhibitory concentrations (MIC 90) necessary to kill 90% of the organisms for major periodontal pathogens.
How long are minocycline microspheres effective against the major periodontal pathogens? Christersson et al analyzed gingival crevicular fluid (GCF) after placement of minocycline microspheres in the periodontal pockets.18 Minocycline was shown to release therapeutic concentrations into the GCF following subgingival administration for more than 21 days. These levels are well above the MICs for common periodontal pathogens (Table 1).
.jpg)
Although the product maintains high local levels of the drug, the systemic levels are minimal. In a pharmacokinetic study, results found mean dose saliva levels to be approximately 1,000 times higher than serum levels (blood) indicating minimal absorption of the drug through the periodontal pocket into blood.9 This finding is important because the goal of a locally delivered antimicrobial is to keep the drug concentrated in the pocket to destroy the periodontal pathogens with little or no systemic effects. Another notable finding was that drug levels were maintained in saliva for more than 14 days indicating a sustained release of minocycline from the minocycline system.9
Walker and Santucci conducted a 56-day study to determine the effect of minocycline on the intestinal microflora and the development of antibiotic resistance.19 Stool samples were collected prior to placement of the product and at 28 and 56 days postplacement. The authors concluded that minocycline did not result in disruption of the normal flora, overgrowth of foreign pathogens, or an increase in antibiotic resistance.
Clinical Efficacy
Minocycline microspheres have been studied in one open label and two placeboblind controlled clinical trials.20-22 The three studies included 921 subjects and more than 27,000 treatments. Subjects were randomized to one of three treatments. The treatments were 1) scaling and root planing (SRP), 2) SRP plus vehicle, and 3) SRP plus minocycline microspheres.
At the 1 month evaluation, subjects who received SRP plus minocycline microspheres had a significantly greater mean reduction in periodontal disease (PD) when compared to the vehicle and control groups (P<0.001). Superiority for the SRP plus minocycline microsphere group was maintained throughout the study. At 9 months, the reduction in mean PD was 1.08 mm for the SRP group, 1.00 for the SRP plus vehicle, and 1.32 for the SRP plus minocycline microsphere group. The difference between SRP plus minocycline microspheres and the other groups after 9 months was statistically significant at P<0.001.
Although statistical significance is important, it merely tells clinicians the probability that the findings were not a chance happening.23 Although not a definitive number, the 2 mm threshold is used by clinicians to monitor disease progression and evaluate therapeutic success.23 In the responding sites treated with SRP plus minocycline microspheres, 61% showed PD reductions of >2mm, 16% had reductions of = 3mm, and 6% had reductions of > 4mm. When evaluating subjects who had changes in PD from >6mm to <5mm, 26% more subjects in the SRP plus minocycline microsphere group improved below the 5 mm threshold than the SRP alone or SRP plus vehicle groups.
A unique feature of the multicenter study was the data analysis of subgroups including smokers; the elderly; and patients with a history of cardiovascular disease, molar teeth, and furcation sites. In each of the subgroups, SRP plus minocycline microspheres produced significantly greater reduction in pocket depth than SRP alone. For example in smokers, minocycline microspheres plus SRP produced greater PD reductions than SRP alone at 6 and 9 months. At 9 months, minocycline microspheres plus SRP produced a 32% greater PD reduction in smokers than SRP alone.20
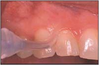
“Tips” for Arestin Tip Placement
|
Contraindications/Precautions
Adverse events reported in the studies showed no differences between the patients treated with minocycline microspheres and the control groups. The most common adverse events included headache, infection, flu symptoms, and pain. There were no reports of antibiotic resistance, staining of teeth, taste alterations, or gastrointestinal upset.20
As noted in the Arestin package insert, minocycline microspheres should not be used in patients with a known sensitivity to minocycline or tetracycline. It has not been clinically studied in pregnancy. Tetracycline drugs should not be used in children under 8 years of age or in pregnant or nursing women unless the potential benefits are considered to outweigh the potential risks.
![]() |
![]() |
| Figure 2. Arestin cartridge | Figure 3. Arestin tip insertion pocket |
Application
Minocycline microspheres may be used in single or multiple sites of inflammation with PD>5 mm. The product may be used during initial therapy, at the re-evaluation, and at the maintenance visit.
The product is supplied in a pouch containing two trays of 12 unit dose cartridges each. Each cartridge is premeasured with 1 mg of minocycline microencapsulated in 3 mg of a bioresorbable polymer in the form of a dry powder. The cartridge is designed to be inserted in the handle prior to placement. Each cartridge contains enough minocycline for one periodontal pocket.
Dental hygienists may use minocycline microspheres by removing the disposable cartridge from its pouch and connecting the cartridge to the handle with a twisting motion of the cartridge. The blue tip cover is removed from the cartridge and the tip is placed to the base of the periodontal pocket or as far as possible (Figures 2 and 3). The thumb ring is then used to expel the powder while gradually withdrawing the tip from the base of the pocket. At completion, the clinician pulls back on the thumb ring to remove the cartridge. The handle mechanism should be sterilized between patients. No dressing or adhesive is required for retention. The product is bioresorbable making removal is unnecessary. No anesthesia is required.
Patient Instructions
After treatment with minocycline microspheres, patients should avoid eating hard, crunchy, or sticky foods for 1 week and postpone brushing for a 12 hour period as well as avoiding touching treated areas. They should also postpone use of interproximal devices for 10 days after administration of minocycline microspheres. Patients should be advised that while some mild to moderate sensitivity is expected during the first week after SRP and administration of minocycline microspheres, they should contact the dentist promptly if pain, swelling, or other problems occur.
Conclusions
The use of minocycline microspheres through local delivery provides the oral health care professional with a conservative option for enhanced care for patients with chronic periodontitis. The literature provides initial evidence that the product is effective and safe for patient use. Dental hygienists should evaluate each patient individually and provide treatment options based on individual patient needs.
From Dimensions of Dental Hygiene. April / May 2003;1(2):24-27.
References
- Rabbani GM, Ash MM Jr, Caffesse RG. The effectiveness of subgingival scaling and root planing in calculus removal. J Periodontol. 1981;52:119-123.
- Caffesse RG,Sweeney PL, Smith BA. Scaling and root planing with and without periodontal flap surgery. J Clin Periodontol. 1986;13:205-210.
- Moore WE, Moore LV. The bacteria of periodontal diseases. Periodontol 2000. 1994;5:66-77.
- Killoy WJ, Saiki SM. Anew horizon for the dental hygienist: controlled local delivery of antimicrobials. J Dent Hyg. 1999;73(2):84-92.
- Sherman PR, Hutchens LH Jr, Jewson LG, Moriarty JM, Greco GN, McFall WT Jr. The effectiveness of subgingival scaling and root planing. I. Clinical detection of residual
calculus. J Periodontol. 1990;61:3-8. - Walker CB, Pappas JD, Tyler KZ, Cohen S, Gordon JM. Antibiotic susceptibilities of periodontal bacteria. In vitro susceptibilities to eight antimicrobial agents. J Periodontol.
1985;56:67-74. - Tonetti M, Cugini MA, Goodson JM. Zero-order delivery with periodontal placement of tetracycline loaded ethylene vinyl acetate fibers. J Periodontol Res. 1990;25:243-244.
- Stanley A, Wilson M, Newman HN. The in vitro effects of chlorhexidine on subgingival plaque bacteria. J Clin Periodontol. 1989;16:259-264.
- Paquette D, Minsk L. A pharmacokinetic study of a locally delivered minocycline therapeutic system (MPTS). J Clin Periodontol. 2000;27(Suppl 1):27.
- Kaldahl WB, Kalkwarf KL, Patil KD, Dyer JK, Bates RE Jr. Evaluation of four modalities of periodontal therapy. Mean probing depth, probing attachment level and recession changes. J Periodontol. 1988;59:783-793.
- Becker W, Becker BE, Oshsenbein C, et al. Alongitudinal study comparing scaling, osseous surgery and modified Widman procedures. Results after one year. J Periodontol. 1988;59:351-365.
- Costerton JW, Lewandowski Z, DeBeer D, Caldwell D, Korber D, James G. Biofilms, the customized microniche. J Bacteriol. 1994;176:2137-2142.
- Page RC. Periodontal disease: a new paradigm. J Dent Educ. 1988;62:812-821.
- Magnusson I, Lindhe J, Yoneyama T, Liljenberg B. Recolonization of a subgingival microbiota following scaling in deep pockets. J Clin Periodontol. 1984;11:193-207.
- Greenstein G, Polson A. The role of local drug delivery in the management of periodontal diseases: a review. J Periodontol. 1998;69:507-520.
- Stratton CW, Lorian V. Mechanisms of action of antimicrobial agents: general principles and mechanisms for selected classes of antibiotics. In: Lorian V, ed. Antibiotics In Laboratory Medicine. 4th ed. Baltimore: Lippincott, Williams & Wilkins; 1996.
- Slots J, Rams TE. Antibiotics in periodontal therapy: advantages and disadvantages. J Clin Periodontol. 1990;17:479-493.
- Christersson LA. Tissue response and release of minocycline after subgingival deposition by use of a resorbable polymer. Warminster, Pa: OraPharma Inc; 1988.
- Walker C, Santucci E. The effect of a locally delivered minocycline periodontal therapeutic system (MPTS) on the fecal flora. J Clin Periodontol. 2000;27(Suppl 1):25.
- Williams RC, Paquette DW, Offenbacher S, et al. Treatment of periodontitis by local administration of minocycline microspheres: a controlled trial. J Periodontol. 2001;72:1535-1544.
- Reinhardt RA, Meinberg TA, Barnes CN, et al. Conventional periodontal maintenance compared to root planing/subgingival minocycline. J Dent Res. 2001;80:55.
- Reinhardt RA, Hart T, Dean JW, et al. Nine month clinical results of a locally delivered minocycline periodontal therapeutic system. J Clin Periodontol. 2000;27(Suppl 1): 24.
- Killoy WJ. The clinical significance of local chemotherapies. J Clin Periodontol. 2002;29(Suppl 2):22-29.
From Dimensions of Dental Hygiene. April / May 2003;1(2):24-27.
.jpg)
.jpg)
.jpg)
.jpg)
.jpg)