What Can Be Done to Improve Tetracycline-Stained Teeth?
I have a 25-year-old female patient with moderate to severe tetracycline staining, especially on the anteriors.
QUESTION: I have a 25-year-old female patient with moderate to severe tetracycline staining, especially on the anteriors. She had professional whitening done a few years ago and experienced improvement on some teeth, but not much on the anteriors. The patient didn’t continue with any at-home whitening. Veneers are not an option due to cost. She is self-conscious about her teeth. Is there anything that can be done to lighten the staining?
A Overnight tray bleaching with a 10% carbamide peroxide bleaching agent is both a cost-effective and efficacious method to change the inherent color of teeth. Although tetracycline-stained teeth can prove more time consuming to achieve results, they will eventually lighten in color. On average, overnight tray bleaching of normal discolored teeth takes approximately 2 weeks to 6 weeks, depending on the amount of discoloration and the final desired shade.1 In comparison, tetracycline-stained teeth can take 2 months to 12 months to lighten, with an average time of 3 months to 4 months.2 Patients should be informed before the start of treatment about extended treatment length and outcomes. The final outcome is dependent on the initial color of the teeth (gray, brown, yellow-brown, blue-gray, etc) and the distribution or uniformity of the color. Tetracycline stain that presents with a gray discoloration tends to be harder to bleach than stains that have more of a brown or yellowish hue, and gingival discolorations are more difficult to lighten.

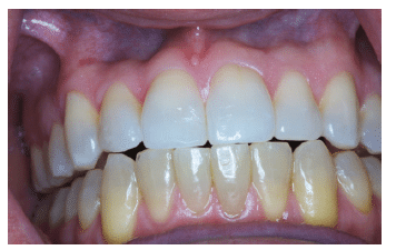
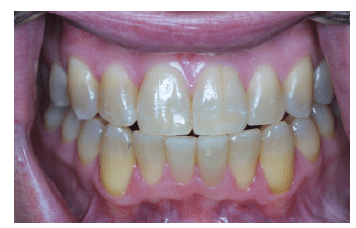
patient with tetracycline-stained teeth.
Nightly treatment with 10% carbamide peroxide in a nonscalloped, no-reservoir tray that extends 1 mm to 2 mm onto the gingiva will ensure the agent will reach the cervical third of the tooth (Figure 1 and Figure 2). In general, this area is more difficult to lighten due to the thickness and composition of the tooth at the gingival margin—less enamel and more dentin. Tooth color comes primarily from dentin and in tetracycline-stained teeth, the tetracycline molecule is tightly bound to dentin.3
If using a product with a higher concentration of carbamide peroxide, the tray must be scalloped so the material does not irritate the gingiva. However, the use of a low concentration and long treatment time is the most predictable approach and produces less sensitivity.

teeth with the maxillary arch bleached and
the mandibular arch baseline.
Patient compliance with this method can be challenging due to length of treatment, yet with proper treatment presentation and patient motivation, desirable results can be achieved. Even if the patient is planning on veneers, having the teeth the lightest possible shade will improve the esthetics and life-like appearance of the veneers.
REFERENCES
- Haywood VB. The “bottom line” on bleaching Inside Dentistry. 2008;4(2):82–89.
- Haywood VB, Leonard RH, Dickinson GL. Efficacy of six months of nightguard vital bleaching of tetracycline-stained teeth. J Esthet Dent. 1997;9:13–19.
- Haywood VB, Sword RJ. Bleaching tetracycline-stained teeth. Inside Dentistry. 2018;14:38–44.
From Dimensions of Dental Hygiene. November 2018;16(11):46.