Reconnecting Practicing Hygienists with the Nation's Leading Educators and Researchers.

Industry Info

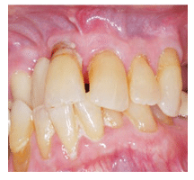
Examining periodontal health in older adults

Industry Info Story on Periodontal HealthExamining Periodontal Health In Older Adults

As the number of older adults in the United States continues to grow and advances in medicine further extend life expectancy, the prevalence of chronic disease is increasing. At the same time, break throughs in dentistry and dental hygiene have drastically reduced the rate of tooth loss, causing the prevalence of periodontal disease to also rise. As such, oral health professionals need to be prepared to provide specialized care for the periodontal and peri-implant health of older adults. In the continuing education (CE) article “Periodontal Care for Older Adults“, Sivaraman Prakasam, BDS, MSD, PhD—an assistant professor in the Department of Periodontology at Oregon Health & Sciences University in Portland—analyzes the relationship between advanced age and chronic disease. The author discusses treatment planning to improve periodontal outcomes and provides a case study to illustrate these strategies in a private practice setting. Developed in collaboration with the American Academy of Periodontology and sponsored by Colgate, this course offers two CE units.

 

Therapeutic May Inhibit Caries-Causing Bacteria

CIndustry Info story on Therapeuticollaborating researchers from the private company C3 Jian Inc, University of California, Los Angeles, University of Washington, and Craig Venter Institute report finding a therapeutic product that removes caries-causing bacteria from the oral cavity. C3 Jian, a company dedicated to delivering innovative products to the health care industry based on reengineering of the human microbiome, claims that its novel product— C16G2—eliminates Streptococcus mutans, the main cause of dental caries.

The peptide therapeutic C16G2 is the first derived from C3 Jian’s proprietary STAMPS technology, which targets pathogenic bacteria. Research conducted with this product demonstrated its ability to selectively eliminate S. mutans without disturbing the oral cavity’s healthy bacteria. It also was found that the agent eliminated other bacteria species closely associated with the targeted bacterium. The potential to alter the microbiome for improved oral health would be a significant advancement. At this time, C16G2 is being tested in multicenter clinical trials, with human clinical testing anticipated within 2 years.


From Dimensions of Dental Hygiene. July 2015;13(7):17.

 

Leave A Reply

Your email address will not be published.

This site uses Akismet to reduce spam. Learn how your comment data is processed.

This website uses cookies to improve your experience. We'll assume you're ok with this, but you can opt-out if you wish. Accept Read More

BLACK FRIDAY / CYBER MONDAY
CE PROMOTION

Coupon has expired Stay top of your profession with our evidence-based peer-reviewed continuing education courses written by world-class educators and researchers!
Get Black Friday CE Savings!