Study finds that shorter waiting time between dental procedures is adequate
Study finds that shorter waiting time between dental procedures is adequate Monday, March 24, Lawrence, KS — Journal of Oral Implantology – Two surgeries are frequently required for tooth replacement with dental implants however, clinicians must allow for adequate
Study finds that shorter waiting time between dental procedures is adequate
Monday, March 24, Lawrence, KS —
Journal of Oral Implantology – Two surgeries are frequently required for tooth replacement with dental implants; however, clinicians must allow for adequate healing time between the procedures. Most patients want to minimize the overall recovery time and thus desire the surgeries be done close together. A study in the Journal of Oral Implantology looks specifically at healing times between the two dental procedures involving tooth replacement.
With tooth loss, the jawbone can shrink, making it impossible to replace the missing teeth with dental implants without risk of nerve or sinus damage. An additional surgery may be required to assure that adequate jawbone height and width are available for implant placement.

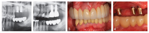
The study looks at 14 patients who underwent two procedures involving tooth replacement. In the first procedure, patients received a bone substitute, composed from nanocrystalline hydroxyapatite, which was grafted into the patient’s jaw. This synthetic material provided scaffolding for new bone growth, expanding into patients’ upper jawbone. Half of the patients then waited three months while the other half waited six months before undergoing the second procedure, placement of the dental implant(s).
The study found similar results among patients three years after the dental implants, whether patients waited three or six months between procedures. The 14 patients collectively received 24 implants in the upper jaw, and only 1 patient lost an implant. No implants were loose, and only a few showed signs of plaque or changes to soft tissue.
The authors conclude that synthetic bone seems to need only three months to become secure enough for dental implants to be placed successfully in the jaw. The additional three months between surgical procedures had no significant long-term effect among the studied patients.
Full text of the article “Nanocrystalline hydroxyapatite-based material contributes to implant stability after three months: A clinical and radiological 3-year follow-up investigation,” Journal of Oral Implantology, Vol. 40, No. 1, 2014, is now available online.
# # #