Reconnecting Practicing Hygienists with the Nation's Leading Educators and Researchers.

X-Rays Help Predict Permanent Bone Damage From Bisphosphonates

X Rays Help Predict Permanent Bone Damage From BisphosphonatesBisphosphonates, the same family of drugs used to battle breast cancer and osteoporosis, have also been found to place people at risk of developing osteonecrosis of the jaw.Dentists and oncologists both are

X-Rays Help Predict Permanent Bone Damage From Bisphosphonates

renl x 1Bisphosphonates, the same family of drugs used to battle breast cancer and osteoporosis, have also been found to place people at risk of developing osteonecrosis of the jaw.

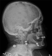
Dentists and oncologists both are now using X-rays to detect “ghost sockets” among patients who take bisphosphonates. The appearance of a ghost socket indicates improper healing in the jawbone and early detection of a ghost socket can prevent permanent damage from occurring, according to an article in the March/April 2009 General Dentistry, the Academy of General Dentistry’s (AGD) clinical, peer-reviewed journal.

A ghost socket appears when the jawbone is not healing and repairing itself correctly. Kishore Shetty, DDS, MS, MRCS, lead author of the article reports “The good news is that even though these ghost sockets may occur, by using radiographic techniques we can see that the soft tissue above these sockets can still heal.” Shetty is also vigilant in pointing out that early prevention and detection are essential for avoiding permanent damage.

Bisphosphonates are a staple in the armamentarium used to prevent and treat osteoporosis, multiple myeloma, Paget’s disease (bone cancers), and bone metastasis from other cancers. These drugs, however, can bond to bone surfaces and prevent osteoclasts from doing their job. Other cells are still working trying to form bone which may turn out to be less healthy bone—a process that results in the ghost-like appearance on X-rays.

“Healthy bones can easily regenerate,” Shetty says, “but because jawbones have rapid cell turnover they can fail to heal properly in patients taking any of the bisphosphonate drugs. It’s very important for patients to know about complications from dental surgery or extractions. Since these drugs linger in the bone indefinitely, they may upset the cell balance in how the jaws regenerate and remove unhealthy bone.”

According to AGD spokesperson Carolyn Taggart-Burns, DDS, FAGD, patients who are taking bisphosphonates should inform their dentist to prevent complications from dental surgical procedures.

“Widespread use of bisphosphonates to prevent or treat early osteoporosis in relatively young women and the likelihood of long-term use is a cause for concern,” Taggart-Burns says.

Shetty and Taggart-Burns agree that how bisphosphonates interfere with healing after dental surgery is still unclear and further research is needed to resolve this question.

Source: Academy of General Dentistry
Image: Couresy of RSNA


Leave A Reply

Your email address will not be published.

This site uses Akismet to reduce spam. Learn how your comment data is processed.

This website uses cookies to improve your experience. We'll assume you're ok with this, but you can opt-out if you wish. Accept Read More

BLACK FRIDAY / CYBER MONDAY
CE PROMOTION

Coupon has expired Stay top of your profession with our evidence-based peer-reviewed continuing education courses written by world-class educators and researchers!
Get Black Friday CE Savings!