Reconnecting Practicing Hygienists with the Nation's Leading Educators and Researchers.

Peptide-Based Approach May Help Repair Dental Enamel and Arrest Caries

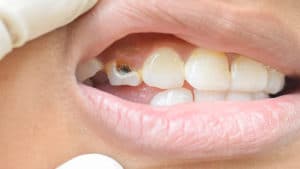
University of Washington (UW) researchers have designed a natural biogenic agent that uses proteins to rebuild dental enamel and treat dental caries.

University of Washington (UW) researchers have designed a natural biogenic agent that uses proteins to rebuild dental enamel and treat dental caries. Published in ACS Biomaterials Science and Engineering, the study, “Biomimetic Tooth Repair: Amelogenin-Derived Peptide Enables In Vitro Remineralization of Human Enamel,” reports the peptide-based technology allows the deposition of 10 micrometers to 50 micrometers of new enamel on the teeth after each use.

The UW team was able to isolate the essence of the protein amelogenin, which is crucial to forming enamel, to design amelogenin-derived peptides that promote remineralization. According to the study, this repair process restores the mineral structure found in tooth enamel. Once fully developed, this biogenic agent may help slow or reverse caries, and shows potential for use in in private and public health settings as an adjunct or possible alternative to existing treatment.

Hygiene Connection E-Newsletter
June 2018

Leave A Reply

Your email address will not be published.

This site uses Akismet to reduce spam. Learn how your comment data is processed.

This website uses cookies to improve your experience. We'll assume you're ok with this, but you can opt-out if you wish. Accept Read More

SAVE BIG ON CE BEFORE 2026!

Coupon has expired

Promotional Period: 12/13/25 – 12/31/25

Get Special CE Savings!